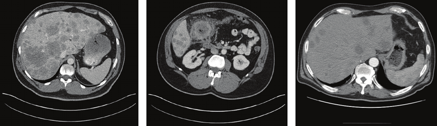
“Generative adversarial networks, the algorithms responsible for deepfakes, have developed a bit of a bad rap of late. But their ability to synthesize highly realistic images could also have important benefits for medical diagnosis.
Deep-learning algorithms are excellent at pattern-matching in images; they can be trained to detect different types of cancer in a CT scan, differentiate diseases in MRIs, and identify abnormalities in an x-ray. But because of privacy concerns, researchers often don’t have enough training data. This is where GANs come in: they can synthesize more medical images that are indistinguishable from the real ones, effectively multiplying a data set to the necessary quantity.”
More on A new way to use the AI behind deepfakes could improve cancer diagnosis via MIT Technology Review.
For those interested in learning more on deepfake technology and the concerns that have been raised regarding its use, check out Artificial intelligence, deepfakes, and the uncertain future of truth by Villasenor via TechTank. Learn more about the legal aspects here at What Can The Law Do About ‘Deepfake’? by Black & Tseng via McMillan.
